We ANSWER YOUR QUESTIONS AND GIVE YOU INFORMATION YOU NEED TO MAKE THE RIGHT DECISIONs after an accident. 


We help injured people looking for information about a case involving a truck accident, car accident, work accident, or wrongful death.  You may have questions about medical bills, lost wages, getting to a better doctor, pain & suffering, or how much your case is worth.  Please watch our videos and read our articles to learn more about your case.  We are here to help you. 

One of the most important decisions you will make after being injured in an accident is choosing the right atlanta attorney. Choose wisely.


Do your research and ask the right questions. Jack Clay is one of Georgia's top rated personal injury and workers compensation attorneys, and has hundreds serious injury cases for satisfied clients throughout Metro Atlanta and Georgia. Most of our cases are against corporations and insurance companies, and you can read about some the companies we've taken on. We represent people hurt in trucking accidents, car collisions, work injuries, factory & construction accidents, and wrongful death cases. Most of our cases are against corporations and insurance companies.   

Georgia Serious Injury Attorneys

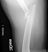
All Pictures Are From Our Actual Case Files


Jack Clay has a proven track record for handling significant cases.  


Our reputation and results were built on handling serious cases and going to court when push comes to shove.  We understand that many of our injured clients don't want to go to court, and would rather settle without the risk, stress, and inconvenience of court.  We understand.  Rest assured that if we have to go to court, we will be with you every step of the way.

 

Most of our referrals in significant injury & accident cases come from fellow attorneys, medical professionals, client recommendations, and our reputation in the community.  

We feature Video TESTIMONIALS from our satisfied Personal Injury clients. See for yourself why they chose us.


We take good care of our clients.  May of them have given written and video testimonials about their experiences with our office.  If you have an injury or accident case, we will sit with you for however long it takes to listen and plan where we go from here. 


We think you will benefit from hearing from our clients, and invite you to watch our client testimonial videos. 

Factory & Construction Injuries

Car Accidents

Who will protect you? 

WE take care of hard working people WHO get seriously injured, and We have won over $25 MILLION for our clients.

Workers

COMP

Wrongful death

Truck 

Accidents

 ​​WE WILL COME TO YOU 

770-729-4500

  No Recovery, No Fee
 Statewide Representation